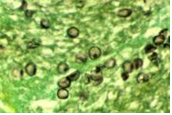
(진균) Pneumocystis jirovecii
-
- 작성자
- 최고관리자
-
- 조회
- 184
-
- 작성일
- 2020-02-07
(진균) Pneumocystis jirovecii

출처:http://phil.cdc.gov/phil/details.aspID#960, CDC/ Dr. Edwin P. Ewing, Jr.
• 위 험 군 :제 2위험군
• 국내범주 :-
• 특 성 :Pneumocystidaceae과
병원성 및 감염증상
- 잠복기 : 숙주에 따라 수일에서 수주
- Pnemumocystis pneumonia(PCP)를 유발함.
- 건강한 사람의 폐에서는 발견되지 않으며 면역이 저하된 자에게 기회감염을 일으킴. 감염증상은 열, non-productive cough(가래 없는 기침), 숨참, 체중감소, 야간발한(night sweat)이 나타남.
치료 및 백신
- 치료 : Trimethoprim-sulfamethoxazole(TMP-SMX)
- 백신 : -
실험실 생물안전정보
- 감염위해요소
- 감염 경로
- 일반 감염경로:호흡기경로로 전파되며, 사람 간 감염가능성이 우려됨.
- 실험자 감염경로: 감염성 에어로졸 흡입으로 인하여 감염 가능함. - 감염량 : -
- 숙주: 사람, 동물
- 실험실 획득감염: -
- 생물안전밀폐등급
- BL2 권장:임상검체, 의심검체, 감염성물질, 배양체를 취급하는 실험
- ABL2 권장:동물 감염실험 및 감염동물 해부 등
- 개인보호장비 :반드시 실험복을 착용하고, 감염성물질이 피부에 직접적으로 접촉할 경우 장갑 착용, 감염성물질이 튈 우려가 있을 경우 눈보호구 및 호흡보호장비 착용, 에어로졸 발생우려가 있는 조작과 대량 또는 고농도의 균 취급 시 생물안전작업대(BSC) 내에서 작업할 것을 권장
- 소독 및 불활성화 :alcohols, hypochlorites, glutaraldehyde, iodine, iodophor disinfectants, hydrogen peroxide, 121℃에서 20분 이상 고압증기멸균, 165~170℃에서 2시간 건열멸균 등
- 숙주 외 환경저항성: -
- 폐기물 처리:감염성물질을 취급한 모든 폐기물은 고압증기멸균 등의 처리 후 의료폐기물로 처리
